胸腔积液科普
已通过实名认证
认证信息
医生执业资质
医生职称信息
实名认证+人脸识别认证
公安系统比对认证通过,所有服务均由医生本人提供
胸腔积液(Pleural effusion)简称胸水,常说的胸腔积液,实际上是胸膜腔积液。胸膜腔是由脏层及壁层胸膜在肺外、胸壁内围成的一个封闭腔隙,内含少量浆液,起到润滑作用,如图:

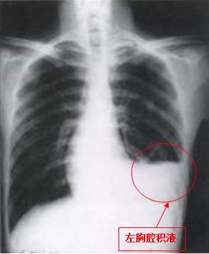
正常人胸膜腔内有3~15ml液体,在呼吸运动时起润滑作用,正常人每天有500~1000ml的液体动态形成与吸收。若由于全身或局部病变破坏了此种动态平衡,致使胸膜腔内液体形成过快或吸收过缓,临床产生胸腔积液,如图:

形成原因:
1、感染:细菌感染、结核感染、脓胸等。
2、出血:外伤或自发性出血等。
3、肿瘤:癌性胸水,肿瘤渗出等。
4、毛细血管压力增高引起漏出:心衰、缩窄性心包炎等。
5、自体免疫性疾病:红斑狼疮、类风湿性关节炎等。
6、胸导管损伤引起乳糜胸(牛奶样胸水);食管破裂食物进入胸腔等。
治疗方法:
1、中、大量胸水需行胸腔闭式引流排液,引流液化验或病理检查以明确病因。
2、脓性胸水/脓胸必要时需开胸/胸腔镜手术清理胸腔。
3、胸腔内注药,如根据药敏使用抗生素,针对肿瘤使用胸腔内化疗药,恶性难治性胸水使用沙培林等药物制造胸腔粘连等。
4、针对原发病的治疗,如抗感染、抗结核、纠正心衰、切除肿瘤、免疫治疗等。
5、对症支持治疗,如补液、补充能量、补充白蛋白、利尿等。
肺癌右侧胸腔积液严重吗
崔双林 肿瘤外科 副主任医师
三甲 中山大学肿瘤防治中心
肺癌患者为什么会出现胸腔积液,癌细胞会“吐水”吗?水从哪来?
胡洋 呼吸内科 主任医师
三甲 上海市肺科医院
胸腔积液导致胸闷气短怎么办
任莉娜 心血管内科 副主任医师
三甲 中国医科大学附属第一医院
心包积液胸腔积液如何形成
吕永楠 心血管内科 副主任医师
三甲 武汉大学人民医院
胎儿胸腔积液几周会吸收
杨秀华 产科 主任医师
三甲 中国医科大学附属第一医院
孕妇胸腔积液怎么治疗
黄建霞 妇科 副主任医师
三甲 浙江大学医学院附属第二医院
胸腔积液语颤增强还是减弱
聂志扬 心血管内科 副主任医师
三甲 北京医院
大量胸腔积液是多少
廖科 呼吸内科 主治医师
三甲 重庆医科大学附属第一医院
肺癌患者的胸腔积液会越抽越多吗?
徐清华 介入与放疗中心 副主任医师
三甲 上海市肺科医院
单侧胸腔积液常见病因
刘博 心血管内科 主治医师
三甲 陕西省人民医院