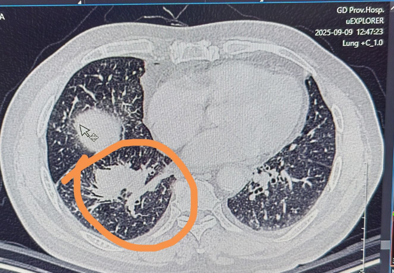
局部晚期肺癌经过化疗联合免疫治疗后一年手术
已通过实名认证
认证信息
医生执业资质
执业证书编号: 1104*********24
医生职称信息
实名认证+人脸识别认证
公安系统比对认证通过,所有服务均由医生本人提供









肺癌 | 免疫治疗联合其他治疗(化疗、放疗、靶向等)!
邱立新 肿瘤内科 副主任医师
三甲 复旦大学附属肿瘤医院
局部晚期非小细胞肺癌伴上腔静脉侵犯的外科治疗--两切口入路手术
邓汉宇 胸外科 主治医师
三甲 四川大学华西医院
食管癌除了手术和放化疗以外,还有其他治疗方法吗?——王鑫医生的小科普
王鑫 介入与放疗中心 主任医师
三甲 中国医学科学院肿瘤医院
肺癌手术后多久开始化疗
崔双林 肿瘤外科 副主任医师
三甲 中山大学肿瘤防治中心
新辅助治疗后手术切除——中晚期肺癌患者的机遇
叶波 胸外科 副主任医师
三甲 上海市胸科医院
一个被诊断为“肺癌”的患者,没有做手术也没有化疗,活了八年,袁芳,您怎么看?
黄智伟 心血管内科 副主任医师
三甲 中国医学科学院阜外医院
联合治疗让6成不能手术的肺癌患者活过5年,未来可能成为主流
胡洋 呼吸内科 主任医师
三甲 上海市肺科医院
哪些肺癌脑转移可考虑手术治疗?
孙国臣 神经外科 副主任医师
三甲 解放军总医院(301医院)
肺癌手术后真的会死得更快吗?
刘彦国 胸外科 主任医师
三甲 北京大学人民医院
手术,消融,介入,靶向,免疫,肝癌患者如何选择最佳的治疗方案?
殷欣 肿瘤内科 主任医师
三甲 复旦大学附属中山医院