害怕内眼角瘢痕,内眦赘皮术式又那么多,到底该怎么选? 眼整形科普三:内眦赘皮术式解读——V-W成形术
已通过实名认证
认证信息
医生执业资质
医生职称信息
实名认证+人脸识别认证
公安系统比对认证通过,所有服务均由医生本人提供
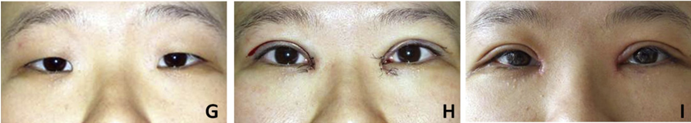
前文中提到:守宝博士后于8年前(2013年)在杨群老师、杨军老师、汪希老师的指导下曾写过一篇关于内眦赘皮手术术式和经验分享的文章(Epicanthal fold correction: Our experience and comparison among three kinds of epicanthoplasties)发表在国际著名美容整形杂志(Journal of Plastic, Reconstructive & Aesthetic Surgery)上,目前已被国内外学者引用16余次,充分得到国内外同行的认可。文章中我们综合各种手术方法的优劣,针对内眦赘皮的不同类型及解剖特点,主要采用横切纵缝法、Z成形术法、V-W成形术这三种方法,对252例内眦赘皮患者进行了内眦开大术,取得了满意的效果。其中对于轻度内眦赘皮我们选用横切纵缝法,Z型成形术主要用于中度内眦赘皮,重度内眦赘皮则选择V-W成形术这篇文章守宝博士后将对 V-W型成形术进行重点解读。
(Postscript:世界上没有任何一种方法是万能的,有的只是适合自己的方法,希望小仙女们都能找到适合自己的方法)


我们通过手术图先来看一下V-W成形术的手术步骤。首先,定位D点,D点位原来的内眦点处,此处位置是固定的。然后在内眦赘皮的褶皱线上定位A点和B点,注意ABD三点要形成一个等腰三角形,这意味着AB和AD的距离是相等的,而AB两点间的间距根据每个人的脸型大小不同也有所不同,一般是在0.6mm左右。而点C位于点D和线段AB间中点的中间位置,也就是说ABC也是个等腰三角形,且等腰三角形的高度与线段CD的长度相等。设计好A、B、C、D这几个点后,分别沿AC、BC、CD做切口,将三角形ABC向前伸展并插入至D点。在前进过程ABC三角瓣的两侧会出现多余皮肤,这时要设计两个反向的三角形皮瓣ACE和BCF。 去除ACE和BCF多余的皮肤,此时将切口下方的眼轮匝肌和皮下组织去除,直到清楚地暴露出正下方的内眦韧带为止。最后仔细缝合皮肤,为了避免形成明显的瘢痕,建议做精细的皮内缝合,必要时可以戴手术放大镜,因为这里实在是太精细了。(TIPs:偷偷告诉小仙女们个秘密,如果有可能尽量找有显微外科基础的整形医生帮忙做内眦手术,因为实在是太精细了,手一定不能抖)

通过手术步骤部分可以看出来V-W成形术要比Z成形术复杂很多,但是它的优势就是可以用于治疗重度内眦赘皮,尤其是横向眼裂短小者(重度内眦赘皮需要转移的组织量较大,因此也需要更多的辅助切口)。V-W成形术内眦部的锯齿形缝合线可防止疤痕挛缩(线状瘢痕容易产生挛缩,因此,整形外科医生如果有可能一般都不喜欢做直线切口,曲折的切口,可以有效防止单一方向上的瘢痕挛缩),而且它还可以隐藏在双眼皮内眦部的褶皱里面,这样就更不容易发现了。尽管如此,V-W成形术的瘢痕有时会比较明显,究其原因,主要是手术切线太多,手术区域较大,需要转移的组织量也多,因此,瘢痕也是难以避免。不过,重度内眦赘皮的小仙女们却很少因为内眦瘢痕不满,因为手术对眼部的形态有非常大的改变,毕竟眼睛变长变大了还是很开心的。
特别说明:内眼角位于面部*,不恰当的术式选择可能会导致内眦部明显的瘢痕和手术效果不佳。如果有内眦赘皮或眼整形方面的问题困扰,欢迎咨询,我会利用自己对各种术式的熟知,为您量身定做适合的内眼角术式,加上守宝博士后十多年的显微外科功底,希望将内眼角的瘢痕做到最小,谢谢关注!
本文系上海九院整外守宝博士后原创,转载请注明出处,谢谢!
肿瘤放疗能带方案回去治疗吗?——王鑫医生的小科普
王鑫 介入与放疗中心 主任医师
三甲 中国医学科学院肿瘤医院
孙峰医生小科普(你需要开眼角吗?)
孙峰 整形美容科 主治医师
三甲 空军军医大学西京医院
颏成形手术截骨到底是靠前还是靠后
代杰文 口腔颌面科 主任医师
三甲 上海交通大学医学院附属第九人民医院
罗勇主任“鼻整形”科普之--鼻中隔加耳软骨综合隆鼻的常见问题解答
罗勇 整形美容科 副主任医师
三甲 南方医科大学南方医院
双眼皮+开内眼角
金石峰 整形美容科 主治医师
三甲 中国医科大学附属第一医院
双眼皮内眼角疤痕增生怎么办
远健 整形美容科 副主任医师
三甲 哈尔滨医科大学附属第一医院
做双眼皮要开内眼角吗
魏文鑫 整形美容科 主治医师
三甲 解放军总医院(301医院)
爱滋病恐惧症——科普中国权威
时岩 皮肤科 副主任医师
三甲 空军军医大学西京医院
开内眼角有什么后遗症
于冬梅 整形美容科 副主任医师
三甲 哈尔滨医科大学附属第一医院
【医美科普】开眼角术后如何护理避免瘢痕增生
吴闯 整形美容科 主治医师
三甲 武汉市第一医院