局部晚期肺鳞癌经过化疗和免疫治疗后再手术治疗,有了治愈的希望
已通过实名认证
认证信息
医生执业资质
执业证书编号: 1104*********24
医生职称信息
实名认证+人脸识别认证
公安系统比对认证通过,所有服务均由医生本人提供
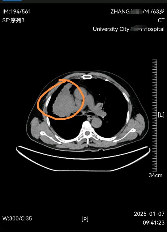
63岁老年男性患者,因为咳嗽伴有血丝痰在当地医院确诊右上肺鳞癌,肿瘤较大侵犯肺动脉暂没有手术机会,在当地医院化疗联合免疫治疗四个疗程后复查肿瘤明显缩小,患者和家属手术愿望强烈,来我门诊就诊复查PET后评估手术还是有机会,遂收入院完善术前检查,顺利完成右中上肺叶切除肺癌根治手术,手术过程顺利,切除彻底干净,术后继续免疫维持治疗,估计会取得不错的预后。










食管癌除了手术和放化疗以外,还有其他治疗方法吗?——王鑫医生的小科普
王鑫 介入与放疗中心 主任医师
三甲 中国医学科学院肿瘤医院
局部晚期非小细胞肺癌伴上腔静脉侵犯的外科治疗--两切口入路手术
邓汉宇 胸外科 主治医师
三甲 四川大学华西医院
肺癌 | 免疫治疗联合其他治疗(化疗、放疗、靶向等)!
邱立新 肿瘤内科 副主任医师
三甲 复旦大学附属肿瘤医院
中晚期肺鳞癌,除了化疗放疗,还可以做免疫治疗,效果确切
胡洋 呼吸内科 主任医师
三甲 上海市肺科医院
新辅助治疗后手术切除——中晚期肺癌患者的机遇
叶波 胸外科 副主任医师
三甲 上海市胸科医院
肺鳞癌保守治疗方法哪些
崔双林 肿瘤外科 副主任医师
三甲 中山大学肿瘤防治中心
手术,消融,介入,靶向,免疫,肝癌患者如何选择最佳的治疗方案?
殷欣 肿瘤内科 主任医师
三甲 复旦大学附属中山医院
脑室-腹腔分流手术过时了吗?北京天坛医院宫剑教授谈儿童颅内肿瘤合并梗阻性脑积水的治疗策略
宫剑 神经外科 主任医师
三甲 首都医科大学附属北京天坛医院
结直肠癌肝转移:手术可以治愈的晚期癌症
张永法 肿瘤外科 副主任医师
三甲 复旦大学附属肿瘤医院
哪些肺癌脑转移可考虑手术治疗?
孙国臣 神经外科 副主任医师
三甲 解放军总医院(301医院)